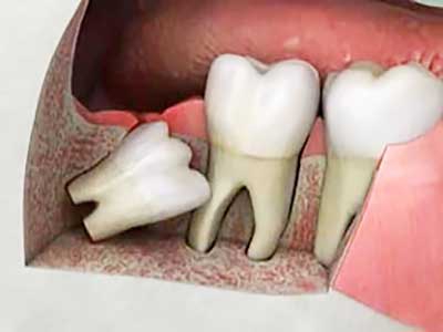
Cirugía Dental
La cirugía bucal es la más antigua especialidad reconocida de la odontología y como parte de ella le concierne el diagnóstico y el tratamiento quirúrgico de las enfermedades, anomalías y lesiones de los dientes, de la boca, los maxilares y de sus tejidos contiguos.
«La Cirugía Oral y Maxilofacial es la especialidad médica que incluye el diagnóstico y tratamiento quirúrgico de las enfermedades, traumatismos y malformaciones que involucran los aspectos funcionales y estéticos de los tejidos duros y blandos de la cabeza, boca, dientes, encías, mandíbula, maxilar y cuello. (Definición dada por la Asociación Internacional de Cirugía Oral y Maxilofacial IAOMS)».
También puede ser definida como la especialidad médico-quirúrgica que se ocupa de la prevención, estudio, diagnóstico, tratamiento y rehabilitación de las patologías bucales y faciales, así como de las estructuras cervicales relacionadas directa o indirectamente con la misma. Se podría definir al cirujano maxilofacial como el cirujano de cabeza y cuello, con una formación extensa y específica en la cara, no limitándose a la estética o reconstrucción.
Por ejemplo, si el paciente presenta crecimiento desigual de mandíbula, esto puede llevarle a experimentar dificultades a la hora de comer, tragar, hablar o respirar. Aunque la mayoría de estos casos se pueden tratar con frenillos u otras técnicas odontológicas, los casos más severos deberán ser tratados por medio de una cirugía dental para poder acomodar a la mandíbula superior e inferior (o ambas) hacía una posición más funcional y saludable.
.
