Obturación Dental
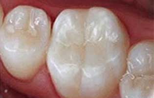
Odontología Bioestética de Tampico cuenta con el profesionalismo del Dr. Sergio De Luna y la Dra. Sara Ramírez expertos en la restauración de la anatomía de los dientes, alterados por la existencia de caries o por roturas que generen una cavidad. Esto es posible por medio de las resinas dentales que permiten la recuperación estética dental.
«La resina es un material que permite ser trabajado al color del diente, dando resultado a una restauración cosmética y agradable.»
Beneficios
Seguridad:
Libre de metales
cómo el mercurio
Belleza:
Materiales y colores que proporcionan una apariencia natural
Estética:
Son prácticamente
imperceptibles
Una resina dental es una alternativa a las amalgamas comunes.
