Limpieza Dental
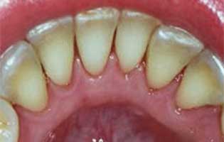
El Dr. Sergio De Luna y la Dra. Sara Ramírez de Odontología Bioestética Tampico, te ayudan a eliminar los depósitos de sarro acumulados y manchas sobre tus dientes ocasionadas por la nicotina, café y otros, por medio de un tratamiento rápido, eficaz e indoloro para prevenir y mantener tu boca en el mejor estado.
Beneficios
Salud:
Previene
enfermedades
Higiene:
Elimina sarro
y manchas
Prevención:
Reduce la inflamación
de las encías
Ven a realizarte con nosotros tu limpieza dental para que deslumbres y enamores con tu sonrisa.
